【香港商报网讯】经过昼夜奋战,1月27日,广东省疾病预防控制中心成功分离出广东省第一株新型冠状病毒(2019-nCoV)毒株,这是从一例病例的肺泡灌洗液中分离出来的,使用了vero-E6传代细胞系。
广东省出现新型冠状病毒感染的肺炎确诊病例后,省疾控中心立即着手向国家卫生健康委员会申请在三级生物实验开展新型冠状病毒2019-nCoV活动资质,准备用于分离2019-nCoV的敏感细胞vero-E6传代细胞系。
1月26日获得国家批准资质后,中心立即开展病毒分离工作,经过昼夜奋战,于27日上午在一例病人的肺泡灌洗液中分离到了一株2019-nCoV。
病毒的成功分离为分析新型冠状病毒的流行规律和致病机制提供了病原学支撑,为研究开发新型冠状病毒预防用疫苗和抗病毒药物提供了重要的种质资源,为广东省疾病防控科技协同创新中心应用研究和科研转化,及后续新型冠状病毒感染的肺炎的防控工作提供了科学支撑。

正常的vero-E6传代细胞

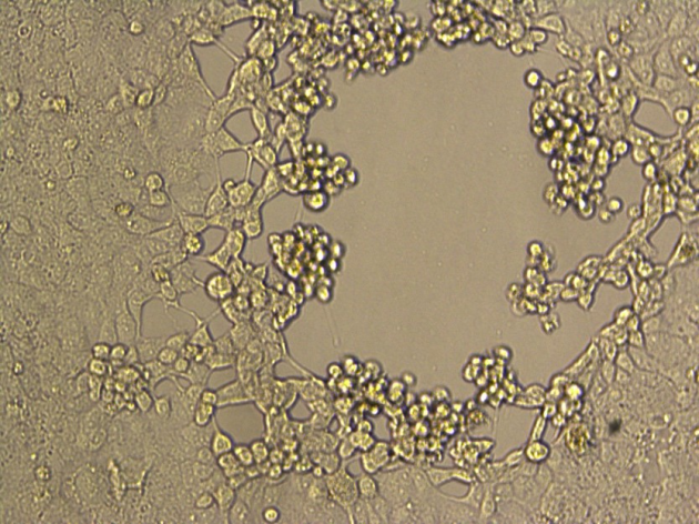
早期出现病变的vero-E6传代细胞

出现完全病变的vero-E6传代细胞
