【香港商报网讯】记者林丽青报道:7岁男孩叮当今年过了一个不一样的 “六一”儿童节,当天,他在香港大学深圳医院接受了极高风险的颅底恶性肿瘤切除,转危为安。为顺利切除肿瘤,来自香港和内地的医生团队首先为叮当进行了脑内40多厘米长的血管搭桥,搭桥血管横跨患儿左右两个大脑半球。搭桥血管之长、患儿年龄之低、手术难度之大,在深圳和香港均属于首例。目前叮当在港大深圳医院住院接受化疗,身体情况稳定。
肿瘤屡次复发
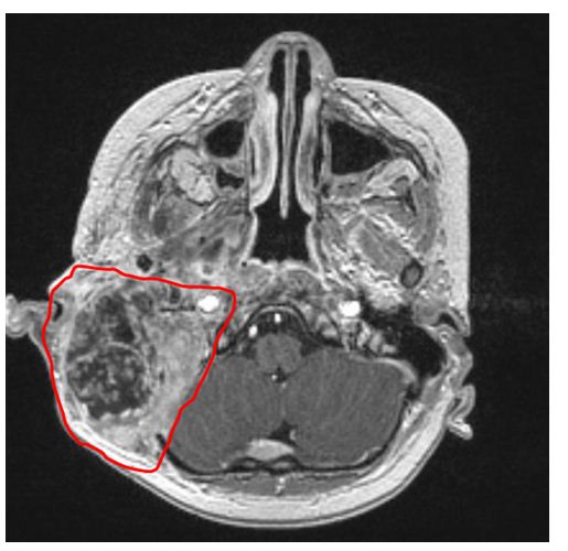
2014年,叮当右耳下隆起一个肿块,检查结果提示恶性肿瘤。在首次切除术后三个月肿瘤复发并迅速增大。在被多家医院告知恶性肿瘤较大无法手术之后,叮当的父母于2016年7月带着叮当首次来到港大深圳医院就诊。港大深圳医院头颈外科、神经外科、儿童肿瘤科等多学科讨论(MDT)后认为,鉴于患儿小,肿瘤大,右侧咽喉旁、颅底的肿块直径达7厘米,病理诊断为恶性程度极高的肉瘤,根据国际循证医学证据,应当先化疗和放疗,等肿瘤缩小后再进行手术切除。2017年2月中旬,叮当接受了“右侧咽旁及中颅窝底肿瘤切除”术。然而,距第二次手术不到一年时间,肿瘤又在叮当的右耳后方复发,有拳头大小,肿瘤溃烂,感染严重,持续高烧不退,命悬一线。在儿童肿瘤专科团队长达2个月多种抗生素联合抗感染及伤口创面处理后,患儿的病情才暂时稳定了下来。
切除肿瘤需先脑血管“搭桥”
港大深圳医院耳鼻咽喉科/头颈外科副顾问医生吴平安介绍说,孩子患的是很罕见的肉瘤,发病率只有百万分之四,恶性程度极高,多手段综合治疗后,肿瘤再次复发,表明肿瘤对放化疗不敏感,能供选择的治疗手段非常少。

在叮当父母的请求下,港大深圳医院再次组织了MDT:若要将肿瘤切除干净,需要切除被肿瘤侵犯的颈内动脉和椎动脉,随之带来的风险是——右侧大脑供血不足,导致中风、脑梗,最终造成患儿死亡。只有先进行脑血管“搭桥”,移植一根新的血管为叮当的右侧大脑提供供血,然后再将肿瘤及其包裹的血管一并切除。这意味着,叮当的手术要分两次进行:先做脑血管搭桥;再做颅底肿瘤切除。这两个都是大手术,风险大、难度大,对医生技术要求高。
搭桥血管逾40厘米长
今年5月中旬,港大深医神经外科何伟成顾问医生、吴平安副顾问医生、袁国艳医生团队为叮当进行了“左侧颈总动脉-右侧大脑中动脉搭桥”手术。医生先从叮当的小腿取出一根长40多厘米的静脉,然后把这段血管的一头连接到左侧的颈总动脉,血管的另一头连接(搭桥)到右侧大脑中动脉。
用于搭桥的这根长长的血管横跨叮当的左右两个大脑半球,在小孩身上这种跨颅搭桥,文献尚无报道,在深圳属于首例。来自香港的神经外科何伟成顾问医生表示,2018年1月在港大深圳医院完成了深港首例成年人的类似跨颅搭桥手术,当时是为一名50多岁的鼻咽癌患者进行治疗,手术顺利完成。而这次由内地和香港医生联合完成的手术,是深港首例儿童跨颅搭桥病例。叮当的手术一共进行了7个小时,顺利完成。
