來源:科普中央廚房 | 北京科技報
新媒體編輯/呂冰心記者/馮曉紅 葛倩倩 編輯/劉昭
有傳言稱新冠患者肺部會被病毒啃噬,機能永遠無法恢復。當年SARS后部分康復者肺部出現嚴重纖維化,新冠康復者會與此類似嗎?
近日,網上有言論稱,新冠肺炎患者的肺部會被病毒啃噬,肺功能不可恢復,還配以恐怖的圖片,著實讓人感到恐慌。

▲網傳新冠肺炎患者的肺部會被病毒啃噬,出現很恐怖的情況(圖片來自微博)
但2月20日,中國工程院副院長、呼吸與危重癥醫學專家王辰在《新聞1+1》節目中,針對新冠肺炎患者是否會出現肺功能問題,他表示:大家在這方面不必過于擔心。我們現有的觀察提示:肺功能組織能夠相當程度甚至完全恢復,當然還有待更進一步地長期觀察。

▲央視新聞頻道《新聞1+1》疫情分析,主持人白巖松連線中國工程院副院長、呼吸與危重癥醫學專家王辰(圖片來自微博)
中國國家衛健委高級別專家組組長、中國工程院院士鐘南山也指出,新冠肺炎的遺體解剖顯示,患者肺部的表現和非典(SARS)有點不一樣,沒有嚴重纖維化。
看到這些消息,有的人可能會產生疑問:新冠病毒對肺到底做了什么?新冠肺炎患者肺部表現和SARS究竟有什么不同?
CT告訴你新冠病毒對肺到底做了什么
新冠肺炎,顧名思義,肺部是新冠病毒攻擊的主要部位。人一共有兩個肺,左、右各一個。右肺有三個葉,左肺有兩個葉。兩肺之間是心臟,心臟位置一般偏左,占據了不小的空間。肺的最主要功能就是換氣,我們通過呼吸,將空氣中的氧氣通過肺部交換到血液當中,并排出體內的二氧化碳。所以在肺部出現比較嚴重的問題時,患者會感覺呼吸困難。

(圖片來自網絡)
但肺是一個內臟器官,醫生很難直接觀測到病變的模樣、位置等,因此,需要借助影像學檢查。而在肺部的影像學檢查中,CT是評估肺部受累的重要檢查手段。并且專家們表示,新型冠狀病毒感染的肺,還是具有一定特征的。
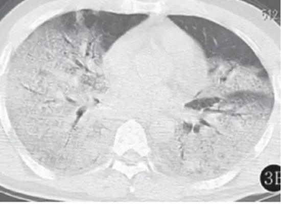
下圖是新冠肺炎患者在做肺部CT時的圖像,肉眼可見的紅色圈內或白色箭頭所指區域,相較于肺部其他正常部位出現了像云霧狀磨砂玻璃一樣的“病灶”,醫學上美其名曰“磨玻璃影”。

▲新冠肺炎患者肺部CT顯示磨玻璃影(圖片來自網絡)
其實,在疾病早期,肺部CT上可能并不會首先出現磨玻璃影。華中科技大學同濟醫學院附屬同濟醫院放射科管漢雄教授發文稱,患者一旦出現咳嗽、持續發熱、不明原因乏力時,CT常常會有陽性發現。肺部CT上可能出現一白色不規則的小斑片(如圖1箭頭所指區域),即“實變結節影”,或者是中央實變、周圍磨玻璃(如圖2箭頭所指區域),也就是中央區域是一白色不規則的小斑片,周圍則像云霧狀磨砂玻璃一樣。隨著病毒的持續“攻擊”,病情發展,感染加重,白色的實變結節區域開始吸收,如同一顆糖融化了一樣,慢慢變為磨玻璃影。

▲圖1:肺部CT上出現一白色的小斑片;圖2:中央區域是一白色的小斑片,周圍則像云霧狀磨砂玻璃一樣(圖片來自網絡)
根據感染程度不同,有的僅單側肺出現這種磨玻璃影,還有的雙側都有。磨玻璃影可以累及一個肺葉,也可同時累及多個肺葉。

▲上面的圖:單側肺出現磨玻璃影,累及一個肺葉;下面的圖:雙側肺均出現磨玻璃影,累及多個肺葉(圖片來自網絡)
上海市胸科醫院放射科主任醫師于紅在接受媒體采訪時介紹,新冠肺炎的影像特征與其他病毒性肺炎相似。早期患者肺部多會出現單個或多個小斑片影、局灶性磨玻璃影等。隨著病情進展,病灶增多并融合,范圍擴大,多個肺葉出現小斑片,或者表現為彌漫性磨玻璃影及實變結節影。
若病毒大量復制,或者患者免疫功能較弱時,會發展為危重癥。此時病毒會攻擊多個肺葉,肺泡損傷彌漫,病變范圍擴大、融合,造成雙肺實變,即從CT上看,患者的肺部呈一大片的白色狀,醫學上稱之為“白肺”。這種情況會嚴重影響肺換氣,患者需要持續吸氧。

▲白肺(圖片來自網絡)
按照國家衛健委發布的新型冠狀病毒肺炎試行第六版診療方案之中的臨床分型,新冠肺炎分為輕型、普通型、重型及危重型。在患者的肺部CT中,輕型者沒有比較明顯的肺炎改變;普通型者以肺部出現局限性斑片狀或很多節段性片狀“病灶”為主(圖②);重型者雙肺可出現較多的白色小斑片“病灶”,部分融合成大片狀“病灶”(圖③);危重型者會有“白肺”表現(圖④)。



▲從上到下依次為普通型、重型及危重型新冠肺炎患者的肺部CT表現(圖片來自網絡)

▲正常情況下人的肺部CT表現(圖片來自網絡)
華中科技大學同濟醫學院協和醫院研究者排除有嚴重呼吸窘迫和/或吸氧需求的患者,分析了21例輕度新冠肺炎患者的動態CT影像學資料。這些患者在平均(4±1)天內,共做了82次肺部CT掃描。學者發現,患者的肺部病變主要集中于肺下葉的胸膜下部位,從患者出現癥狀后約10 天,肺損害最嚴重,出現大片的白色致密“病灶”,約14天肺部病變開始改善直至吸收。
新冠病毒比SARS仁慈一些,目前未發現肺部嚴重纖維化
解放軍總醫院第五醫學中心(302醫院)王福生院士團隊,近期于《柳葉刀·呼吸醫學》期刊上發表了首份新冠肺炎逝者病理報告,這項病理分析不是來自完整的尸檢,而是通過對一位新冠肺炎逝者進行微創病理檢查獲得的。團隊人員對患者的肺、肝和心臟進行了組織樣本檢測。
其中,肺部組織學檢測顯示,患者肺部表現為彌漫性肺泡損傷和肺透明膜形成,肺部總體病理特征與SARS、中東呼吸綜合征(MERS)相似。

對于SARS,很多人還是記憶猶新。雖然時隔十來年,但是SARS后遺癥一直都在侵襲著那些曾經患過SARS的人群。其中,常見的一個后遺癥就是肺部纖維化。
SARS會導致非常嚴重的肺部炎癥,引起呼吸困難、纖維化,最終造成肺衰竭。
當年在SARS結束后,鐘南山在采訪中指出,有7%-8%的非典康復者有較明顯的肺纖維化表現,存在肺功能障礙,其余90%以上者身體均基本康復。

▲SARS患者的“白肺”(圖片來自網絡)
肺纖維化是肺臟受到傷害后,人體修復產生的結果。倘若正常人的肺是“嫩絲瓜”,那么纖維化的肺就像下圖的干透了的絲瓜一樣,整個肺會變得像木頭般沒有彈性,呼吸功能明顯減弱,嚴重者各種肺部組織幾乎壞死,最終不能自主呼吸而死亡。

▲纖維化的肺就像干透了的絲瓜(圖片來自網絡)
研究者發現,有一種對病毒復制很重要的SARS病毒蛋白質能加重肺部纖維化。學者們在肺細胞中檢測了一種SARS病毒蛋白質,這是一種核衣殼蛋白(與病毒遺傳物質結合的蛋白質),它能與一種名為Smad3的細胞蛋白質相結合,從而完成兩項任務:一是啟動細胞自毀,延長病毒復制的時間;二是激活一條獨立信號通路,促進膠原和纖溶酶原蛋白抑制劑(PAI-1)的生成,這種抑制劑能破壞非細胞物質以及其他體內結構并導致肺部纖維化。
人類的存活力很強,即使切掉一個肺還可以繼續活下去,所以,有的身強力壯的患者可以勉強抗住SARS病毒。但這種存活是短暫的,SARS病毒的短期增殖會導致宿主肺部的長期損壞,他們的肺部已經纖維化,隨著年齡的增長,抵抗力下降,很容易發生肺部硬化而死亡。
但新冠肺炎有所不同,2月18日,在廣東省人民政府舉行的新聞發布會上,鐘南山指出:“17年前SARS的時候,就通過遺體解剖說明了,肺本身病變情況以及肺以外全身臟器被破環的情況。”他同時透露,新冠肺炎患者肺的表現和SARS有點不一樣。“并不像我們想象的嚴重纖維化,現在還沒有結果,看起來有一部分肺泡還存在,但是炎癥很厲害,有大量粘液。”他表示,進一步解剖會幫助我們認識這個病的特點,同時要特別注意讓患者氣道通暢,相關研究還正在進行中。
相比較而言,病毒對新冠肺炎患者的肺部還算“仁慈”一些。
多數新冠肺炎患者痊愈后肺功能可恢復
肺臟對人來說是非常重要的器官,被病毒這么“折騰”后,相信不少患者肯定會擔心自己的肺臟功能還會不會恢復到以前的樣子。
綜合多家媒體報道,從CT上來看,新冠肺炎的表現跟其他病毒性肺炎的表現沒有特別大的差異,比如過去的流感病毒引起的肺炎、甲流肺炎等,它們的影像上也經常出現彌漫性磨玻璃影和實變。而多數流感患者、甲流患者痊愈后,其肺功能均有明顯改善。因此,就像專家王辰說的,新冠肺炎患者不必過于擔心。
根據中華醫學會放射學分會的專家推薦意見,從目前所觀測到的情況來看,經過積極有效治療后,絕大多數新冠肺炎患者的肺部病灶范圍縮小,病灶數量減少,磨玻璃陰影可完全吸收。
即便是重癥患者,經過系統的治療,肺功能也能逐漸恢復。例如,武漢疫情中第一位出院的重癥患者,醫生在分析他的肺部CT時,發現其已經恢復了90%。當然,這只是特殊案例。對于其他危重癥患者,CT已顯示存在“白肺”,將來治愈后殘留病灶會如何變化,目前因為沒有很多的資料,尚無法定論。
武漢市聯合醫療救治專家組專家、中南醫院急救中心副主任夏劍,在接受媒體采訪時指出,新冠肺炎患者出院后,尤其是重癥患者,仍需慢慢恢復。“但他們的肺功能要恢復到完全正常是不可能的,因為有些肺部組織損失是不可逆的,能使他們的肺功能支撐正常活動就可以了。”
根據之前SARS的跟蹤研究發現,患者肺部實變影可轉歸為磨玻璃影,有一些磨玻璃陰影可持續存在,但也有的磨玻璃影會逐漸消失。希望新冠肺炎患者尤其是幸存的危重癥患者,也能看到這樣的奇跡!
