【香港商报网讯】医学期刊《国际抗菌剂杂志》网站5月3日刊登法国巴黎东北郊塞纳-圣但尼医院集团主持撰写的短篇通讯论文,证实新冠病毒2019年12月底已在法国传播。这项研究结果将新冠病毒在法国蔓延的开始时间提前了一个月。
无独有偶,此前美国新泽西州贝尔维尔市长迈克尔·梅勒姆已经承认自己早在去年11月就感染了新冠病毒,美国疾控中心主任雷德菲尔德也表示,美国确实有原本被诊断为患流感、实际却是感染新冠病毒而死亡的情况。
而意大利医学专家朱塞佩·雷穆齐在接受美国媒体采访时同样表示,中国疫情爆发前,病毒或已在意大利传播。
法国医学论文:
病毒去年12月底已在法国传播
医学期刊《国际抗菌剂杂志》网站5月3日刊登法国巴黎东北郊塞纳-圣但尼医院集团主持撰写的短篇通讯论文,证实新冠病毒2019年12月底已在法国传播,这比2020年1月24日官方首次确诊病例早了近1个月。


研究人员此次发现一名42岁男子的样本新冠病毒检测呈阳性。该男子职业为鱼贩,出生在阿尔及利亚,已长居法国多年,最近一次旅行是在2019年8月前往阿尔及利亚,发病前没有临近中国旅行史。

论文截图
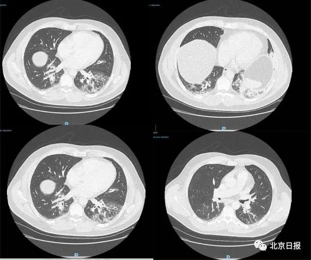
据了解,患者去年12月27日到急诊室就医,CT检查显示双侧肺下叶呈现磨玻璃影,并伴有咯血、咳嗽、头痛及发热症状,且当时症状已持续4天。病患当天被收入重症监护室并接受抗生素治疗,后因病情好转于12月29日解除重症监护。

图为病患CT检测影像
据此证明,新冠病毒已于2019年12月底在法国传播,比该国官方所称于1月24日首次发现病例,提早了一个月。由此也可推测,在2020年1月期间法国或存在大量无症状感染者,他们造成了病毒的进一步扩散。

论文截图
消息一出,有网友表示,如果这份12月2日在巴黎的病例被证实了,这无疑击碎了新冠病毒是由中国实验室泄漏的说法。因为病毒是绝不可能在11月底从武汉一下子蹦到巴黎的。

美疾控中心:
部分流感死者实则死于新冠
据美媒报道,美国新泽西州贝尔维尔市长迈克尔·梅勒姆(Michael Melham)4月30日表示,自己在2019年11月就已感染新冠病毒。检测结果也显示,他已拥有新冠病毒抗体。美国今年1月20日才报道首例新冠病毒确诊病例,比梅勒姆提到的感染日期,晚了2个多月。

新泽西州贝尔维尔市长迈克尔·梅勒姆(NJ.com)
3月11日,在美国国会众议院一场有关新冠病毒的听证会上,美国疾控中心主任雷德菲尔德表示,美国确实有原本被诊断为患流感、实际却是感染新冠病毒而死亡的情况。3月底,美国公共卫生协会执行董事乔治·本杰明曾表示:“我们最终会发现,新冠病毒的到来可能比我们想象的要早得多。”

4月17日,美国斯坦福大学发表的一项研究报告称,研究人员对美国加利福尼亚州圣克拉拉县3300人的样本进行了检测,推断实际感染新冠病毒的人数可能是官方所预测数字的50到85倍。
出现如此大的差距,是因为用PCR测试(一种核酸检测方法)、临床检测诊断出的确诊病例,和存在抗体的人群之间,大约有50到60倍的差异。这意味着之前有很大一批人被感染了,可是病情没有严重到做PCR测试。
美国有线电视新闻网(CNN)5月5日报道,美国芝加哥卫生部门将复查去年的死亡病例,以确定是否由新冠病毒导致。目前芝加哥地区已知的首例新冠肺炎死亡病例发生在3月16日。
意大利知名医学专家:
本国疫情或早于中国传播
2月21日,意大利在伦巴第大区发现新冠肺炎疫情本地传播的“1号病人”。但是有意大利医生怀疑,在“1号病人”感染之前,新冠病毒已经在意大利蔓延。流行病学专家普雷里阿斯科也表示,所谓的“1号病人”搞不好是“200号病人”。
意大利知名医学专家朱塞佩·雷穆齐则在3月做出一个重要判断——本国疫情,或早于中国传播!
雷穆齐在接受美国国家公共广播网(NPR)采访时表示,他听到过来自医师的消息,“他们记得见过这种奇怪的肺炎,非常严重,特别是在老年人中,在去年12月甚至11月时。”
另据路透社3月12日报道,来自米兰的传染病学教授马西莫·加里的团队发现,本国出现的病毒样本,与一名1月份在德国被感染的患者高度匹配。这和此前专家认为病毒是由中国直接传入的猜测大为不同。
英国研究人员:
新冠病毒去年底已开始在全球传播
CNN5月5日报道,英国研究人员对全球7600名患者身上提取的新冠病毒进行基因分析表明,该病毒从去年晚些时候就已经开始在世界范围内传播,并且一定是在首例感染后快速地扩散。

伦敦大学学院(University College London)遗传学研究所的研究员弗朗索瓦·鲍卢克斯(Francois Balloux)对CNN表示:“这种病毒正在发生变异,但这本身并不意味着它正在恶化。”
该团队的研究报告发表于《分子流行病学和传染病进化遗传学Infection, Genetics and Evolution》。报告写道:“我们的结果与先前的估计相符,到2019年底前所有基因序列都具有共同的祖先,这证明在这一时期,新冠病毒进入人类宿主。”
“这是最近的事,”鲍卢克斯说,“我们非常、非常、非常有信心病毒进入人类宿主发生在去年年底。”
CNN称,这说明该病毒早在官方报告之前就已经在西方传播。
5月5日晚,在《新闻1+1》节目中, 中国驻美国大使崔天凯表示,现在客观地说,在中国以外的地方,发现了更早的新冠肺病毒感染的病例。这背后究竟是什么原因,需要科学家去探索和研究。
崔天凯表示,这些病例和病毒问题有几个概念需要澄清,最早报告病例的地方不一定是病毒产生的地方。很多科学家也都这么认为。而且很多人之前以为武汉最早发现病例,现在情况也有了变化,在美国和欧洲都发现了更早的病例。这究竟说明什么,需要科学家解决。
关于病毒来源,现在有很多说法,但是科学界普遍看法是:病毒是自然界产生的,而不是从实验室出来的。我希望大家相信科学,相信事实。
