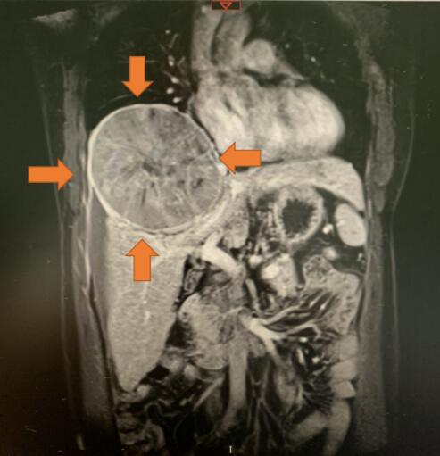
肿瘤位置
【香港商報網訊】記者 林麗青 報導:四十歲的韋先生髮現乙型肝炎已經十餘年了,得這個病的人很多,加上平時不疼不癢沒有什麼感覺,韋先生就一直沒有對肝炎進行正規的監測和治療。
在4月底的一個深夜,韋先生突然被腹部的一陣劇痛驚醒,一家人急忙來到醫院就診,初步檢查發現肚子裏面竟然從肝臟長出一個巨大的腫瘤,經過第二天的CT檢查進一步確認了病情,腫瘤直徑大約15cm,就像一個小皮球那麼大,同時腫瘤向上生長擠壓右側的肺部,更糟糕的是由於腫瘤太大已經有破裂出血,如果再不及時治療可能就會有生命危險。
患者家屬帶着一線希望來到中國醫學科學院腫瘤醫院深圳醫院的肝膽外科,來自北京總院肝膽外科支持深圳醫院學科建設的青年骨幹吳凡副主任醫師接診後,與深圳醫院科室主任車旭教授看過相關資料後當機立斷,馬上決定將患者收入院進行醫治。

患者术后恢复良好
「中央型肝癌」頂級外科大咖給予指導
經過一系列檢查,患者各項指標滿足手術條件,而且腫瘤沒有轉移到其他部位。吳凡介紹說,患者的腫瘤長在肝臟的中心部位,屬於手術難度較高的中央型肝癌,這種手術既要完整切除腫瘤又不能損傷通往肝臟左側及右側的管道系統。因為一旦損傷,患者的肝臟將遭到不可逆轉的影響,甚至因為肝功能衰竭導致死亡。
吳凡醫生與遠在北京總院肝膽外科的吳健雄教授進行了遠程會診,吳健雄針對患者的情況給予了深圳團隊細緻的指導,也給整個治療小組很大信心。另外巨大的肝癌侵犯了右側胸腔大片的膈肌,必須要有胸外科專家配合手術,車旭邀請了赫捷院士的博士後、胸外科病區主任郭曉彤教授會診,郭曉彤教授在手術台上反覆推敲手術切口的位置及影響,給手術成功奠定了堅實的基礎。
腹腔內已有近3000毫升出血
當打開肚子時,患者的實際情形還是讓大夫們感到震驚:腹腔內已經有近3000毫升的出血,再不切除腫瘤可能真的沒有機會治療了。經過三個小時的奮戰,在麻醉科、手術室、胸外科多科室的配合下,吳凡和車旭主任終於將這個皮球大小的腫瘤從肝臟安全切除了。
患者術後4天開始吃東西,術後7天拔除了腹部引流管度過了危險期,準備近期出院。吳凡表示,韋先生得到了及時的救治,暫時是幸運的。但這樣巨大的肝癌手術後還有很高几率會複發轉移,如果韋先生能夠早點治療肝炎,每年定期體檢,那麼就不會這麼晚才發現這樣巨大的腫瘤。
乙肝患者做好四點預防肝癌
作為肝膽腫瘤專家,吳凡提醒大家,我國是乙肝大國,90%的肝癌患者都有乙肝病史,因此乙肝患者一定要從以下幾方面預防肝癌:
1. 知曉並監測血液中乙型肝炎DNA的水平及變化情況,乙肝病毒載量能直接反映肝臟病毒的數量以及活躍程度。病毒越多、複製得越快,就越容易導致肝硬化甚至肝癌;
2. 規範服用抗病毒治療藥物,降低乙肝DNA水平;
3. 每半年做一次體檢,檢查肝臟超聲及甲胎蛋白水平。如果懷疑有肝癌的可能,還需要進一步行肝臟核磁檢查。
4. 養成良好的生活習慣:戒煙戒酒(長期大量飲酒對肝臟的損傷非常嚴重),多吃新鮮蔬菜及水果,不吃發霉的花生、玉米、大米,堅持鍛煉,保持良好的心情。
做到以上幾點就能盡量避免像韋先生一樣出現這麼危急的病情。但在檢測過程中如果發現肝臟有異常的腫物,還請到專業的腫瘤醫院進一步就診,避免進一步延誤病情。