【香港商報網訊】記者 林麗青 報導:日前,9歲的女孩盈盈(化名)得了一個「怪病」:上完廁所後,血壓瞬間飆升,頭就像針扎一樣的疼,常常讓她疼哭。在深圳市兒童醫院醫生抽絲剝繭的尋找下,「真兇」終於被找到:膀胱異位嗜鉻細胞瘤。
據介紹,這是一種非常罕見的神經內分泌腫瘤,發病率小於1/1000萬,它能引起人體血壓瞬間爆表。如果治療不及時,就會導致嚴重的併發症乃至死亡。
經過周密準備,手術過後,孩子血壓立即恢復正常,「怪病」再也沒出現過。
每次小便完,她的頭就像針扎一樣疼
今年5月的一天,盈盈上完廁所小便後,突然感覺頭部像針扎一樣疼,同時心跳也加快。幾分鐘後,這些癥狀慢慢緩解。起初,家裡人以為只是缺氧、過度疲勞導致,並沒有太在意。
不料,此後一個月,這「怪病」發作得越來越頻繁,有時一天數次,便後頭疼的時間也越來越久,孩子常常被疼哭。
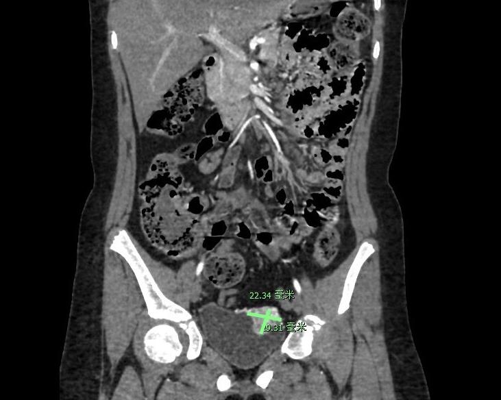
6月2日,盈盈隨家人到深圳市兒童醫院就診。經過醫生仔細檢查,盈盈的血壓偏高,最高時達到157/102 mmHg,比正常值高出不少。同時,還在她的膀胱壁上發現一個2—3cm大小的腫物。結合盈盈高血壓的發病規律以及臨床表現,醫生推測這個拇指大小的腫塊,是一種引起惡性血壓升高的罕見疾病——嗜鉻細胞瘤。

手術前,CT檢查顯示,盈盈的膀胱壁上發現一個2—3cm大小的腫物,高度懷疑為嗜鉻細胞瘤
全球加起來不到200例
嗜鉻細胞瘤是一種神經內分泌腫瘤,它的發病率僅為1/125000,這腫瘤好發於腎上腺。發生在膀胱部位的嗜鉻細胞瘤更少見,僅占所有嗜鉻細胞瘤的1%。
目前為止,全球範圍內報道的膀胱異位嗜鉻細胞瘤病例數,加起來都不到200例。
這種腫瘤能大量分泌齣兒茶酚胺,一旦進入血液,會使血管收縮,引起人體血壓急劇上升。如果治療不及時,就會導致嚴重的併發症乃至死亡。
為啥頭疼會跟膀胱內的嗜鉻細胞瘤扯上關係呢?「這是因為膀胱里這個腫瘤就好比是一個開關。」深圳市兒童醫院泌尿外科主任李守林說。當膀胱充盈時,它處於擴張狀態,腫瘤受到刺激,就會大量釋放兒茶酚胺代謝產物進入血液,使得血壓瞬間躥高。而當小便排空時,膀胱一下子收縮,腫瘤受到擠壓刺激,同樣也會導致血壓飆升,從而引起頭疼、心悸、多汗等癥狀。
術中患兒血壓就像「過山車」
經過治療,盈盈的病情得到了控制。但是想要根治,手術切除腫瘤是最直接有效的方法。但手術面臨著巨大挑戰,即醫生既要完整、乾淨的切除腫瘤,又要維持血壓平穩,保證孩子的生命安全。
手術過程中,當接觸到嗜鉻細胞瘤時,它會瞬間釋放出大量激素,導致血壓迅速上升,患兒可能隨時出現腦中風、器官卒中的情況,甚至下不了手術台。而當瘤體被剝離後,血壓急速下降。這又會導致器官出現突然缺血,最嚴重的情況將出現器官功能障礙,甚至可能變成植物人。這給手術、麻醉造成了很大困難,也對外科醫生、麻醉師的專業技術提出了更高要求。
為了萬無一失,醫生團隊做好了各種預案,手術由經驗豐富的泌尿科主任李守林主刀,麻醉科則派出了5名麻醉醫師坐鎮,他們中3人有副高以上職稱。而在以往,一台普通的外科手術,並不需要動用外科主任這樣的「大咖」,麻醉師一人也就夠了。

李守林主任在手術中
6月18日上午10時25分,手術開始。按照術前計劃,外科醫生主攻,手術中採用微創手術切除腫瘤,但也要盡量少觸碰和擠壓腫瘤。麻醉醫生則全程防守,隨時注意生命體征變化,確保盈盈的生命安全。經過近2小時的通力協作,醫生終於制服了嗜鉻細胞瘤。此前預設的各種急救場景,都沒有出現,全程有驚無險。
手術結束後,病理報告也證實:腫塊為膀胱副神經節瘤(即膀胱異位嗜鉻細胞瘤)。
當盈盈從麻醉狀態中蘇醒過來後,血壓穩定在正常水平。手術後,她恢復良好,各項指標都正常。去廁所小便後,再也沒有出現頭疼、心慌、冒汗等癥狀。
目前,她已康復出院,回到了久違的校園。
醫生提醒:孩子突然血壓增高,當心是嗜鉻細胞瘤在「搗鬼」
兒童嗜鉻細胞瘤占兒童高血壓患者的1%到2%,主要的表現為惡性高血壓,以及其他因高血壓導致的心衰、腦出血等嚴重併發症。通常情況下,此類患者還普遍存在三聯征——頭痛、心悸、多汗等。
「頭痛醫頭、腳痛醫腳是不正確的,要找到問題的關鍵。」深圳市兒童醫院泌尿外科主任李守林提醒,如果孩子突然出現血壓增高的情況,一定要留心可能是嗜鉻細胞瘤在「搗鬼」。此外,確診嗜鉻細胞瘤的患兒,手術做完後也應定期隨診,謹防複發。