摔跤最怕摔傷的部位就是頭
電視劇《還珠格格》中紫薇摔下馬
明明眼睛沒有受傷卻失明了
就有可能是因為腦出血壓迫了視神經

大腦是人體最重要也最脆弱的器官——
它掌管着全身的神經中樞,
主宰着意識、思維與所有生命活動,
是人體無可替代的指揮核心。
可它又如同豆腐般脆弱,
稍有磕碰、震盪或損傷,
便極易引發難以挽回的傷害。

張老伯怎麼也沒想到,
一次意外摔傷頭部,竟差點讓他與家人永別。
今年春節過後,他感到頭部隱隱作痛,老是想睡覺,但總覺得是「過年累着了」,沒當回事。
誰成想,幾天後,他突然變得意識模糊,家人緊急將他送往深圳市第二人民醫院急診科。
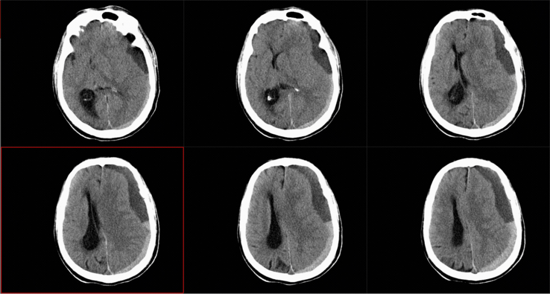
經過CT檢查,醫生診斷張張老伯患的是「慢性硬膜下血腫」。

急診CT影像,見左側硬膜下混雜慢性硬膜下血腫,中線受壓右移。
慢性硬膜下血腫這個聽起來有些專業的名詞,其實可以簡單理解為「大腦外面慢慢地出血」。
我們的大腦被三層膜包裹着,從內到外分別是軟腦膜、蛛網膜和硬腦膜。
慢性硬膜下血腫就是發生在硬腦膜和蛛網膜之間的血腫,通常是頭部受到輕微外傷後,少量出血逐漸積累形成的「血包」,這個形成過程可能持續數周甚至數月。

張伯的發病過程非常典型,這種血腫初期症狀往往不明顯,
可能只是輕微頭痛、頭暈、記憶力下降或反應變慢,
很容易被誤認為是疲勞、感冒或「年紀大了反應差了」的正常現象。
特別是老年人,常常將這些症狀歸因於衰老,從而延誤就診。
隨着血腫逐漸增大,大腦受壓加重,症狀才會變得明顯:意識障礙、肢體無力、行走困難,甚至昏迷。張伯就是經歷了這個過程。
神經重症監護室黃賢鍵主任團隊接診張伯後,安排急診進行「硬膜下血腫鑽孔引流術」。
開顱手術聽起來挺嚇人的,但這個手術其實只是在顱骨上鑽一個小孔,放入引流管將硬膜下積聚的「大血包」放出來,減輕血腫對大腦的壓迫。
這個手術效果立竿見影,術後當日張伯的意識就逐漸恢復,很快就成功脫離呼吸機並拔除氣管插管。
康復之路就隨即啟動,從昏迷到能夠自由活動,張伯經歷了系統的康復治療:
早期康復:術後返回重症監護室,早期開始為患者進行被動關節活動,防止肌肉萎縮和關節僵硬。
功能訓練:隨着意識恢復並拔除氣管插管後,張伯轉至普通病房,治療重點轉向坐立平衡、站立和行走訓練。起初需要兩人攙扶才能站立片刻,肌肉力量經過訓練後很快得到恢復,逐步可以獨自站立和自主行走了。(圖2)
認知與日常生活訓練:除了肢體活動功能,醫生和治療師還幫助他恢復記憶力、注意力和日常生活能力,如穿衣、吃飯、洗漱等。

術後轉至普通病房恢復良好
張伯的經歷給我們幾個重要提醒:
1.頭部輕微外傷要警惕:特別是老年人,即使頭部磕碰得不嚴重,也可能在幾周後出現慢性硬膜下血腫,尤其是出現精神反應狀態和活動困難等情況。
2.留意細微變化:如果出現持續頭痛、記憶力下降、反應變慢、行走不穩或肢體無力,應及時就醫,不要簡單歸因於「老了」。
3.及時就醫:一旦確診,慢性硬膜下血腫的治療效果通常都很好。像張老先生這樣的病例,經過及時手術和系統康復,大多能恢復良好。
手術後2周時,張伯已經能夠自由行走,生活基本自理。他的家人感慨:「真是從鬼門關走了一遭。」這次經歷也讓全家認識到,對於家中長輩的身體變化,再小的異常也不應掉以輕心。當出現不明原因的頭痛、乏力或認知變化時,及時就醫檢查,才能避免小問題釀成大患。(記者 林麗青)